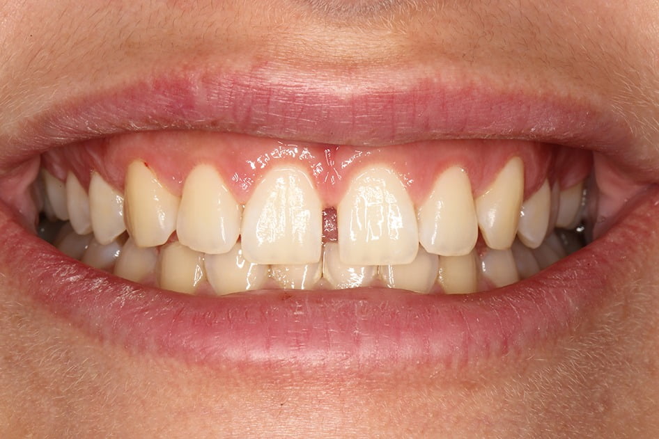
A ‘gummy smile’ occurs when a larger portion of the gums is visible when smiling, often making the teeth appear shorter than they actually are. This aesthetic concern can be attributed to various factors, including:
Excess Gum Tissue: Some individuals naturally have more gum tissue covering their teeth, leading to a gummy smile.
Hyperactive Upper Lip: When the upper lip rises too far while smiling, it can expose more of the gums.
Shorter Teeth: If the teeth are naturally shorter, even a normal amount of gum tissue can create the illusion of a gummy smile.
Abnormal Tooth Eruption: Teeth that haven’t erupted fully can contribute to a gummy smile.
Understanding the specific cause of your gummy smile is crucial for determining the most appropriate treatment.
If you would like us to treat your ‘gummy smile’ contact us today.

Treatment options for a gummy smile vary depending on the underlying cause. Here are some common approaches:
Gum Contouring: Also known as crown lengthening, this procedure involves removing excess gum tissue to reveal more of the tooth structure, creating a more balanced smile.
Orthodontic Treatment: In some cases, braces or clear aligners may be recommended to reposition the teeth and improve the overall balance of the smile.
Maxillofacial Surgery: In more complex cases, maxillofacial surgery may be considered to reposition the upper jaw, addressing both excessive gum display and other structural issues.
We are dental specialists with expertise in the supporting structures of the teeth, including the gums and bone supporting your teeth. Our advanced training makes us uniquely qualified to address gummy smiles, especially when the concern is related to excessive gum tissue. Periodontists can perform precise procedures like gum contouring, addressing the aesthetic aspects of a gummy smile while ensuring optimal gum health.
If you’re bothered by a gummy smile, our experienced periodontist can provide a personalised assessment and recommend the most suitable treatment to enhance both the appearance and health of your smile.
Schedule a consultation to explore your options and rediscover confidence in your smile.

A gummy smile, otherwise know as excessive gingival display, is a smile that shows an excessive amount of gum along the top arch of teeth, below the upper lip. A smile that shows more than 2mm of gum is termed a “gummy smile”.
Some people may have a “gummy smile” due to their teeth appearing short. In fact, their teeth my be of proper length, but they’re being covered by too much gum tissue. To correct this, you will need to see a periodontist to receive a dental crown lengthening procedure.
During this procedure, any excess gum (and occasionally bone tissue) is removed to expose more of the crown of the teeth. This can be done to a single tooth, a few teeth, or even to your whole gum line to give you a natural broader smile.
There are a few causes of a gummy smile, including;
Gummy smiles are relatively common and are found in 10-30% of people (most commonly in females).