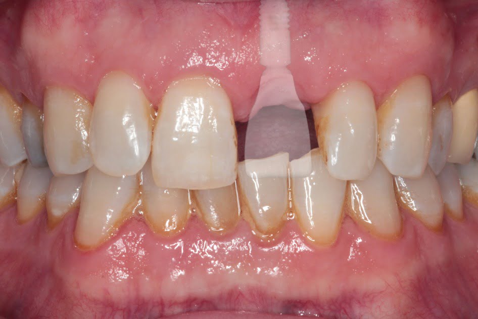
Dental implants are artificial teeth that provide long-lasting replacements for missing or failing teeth, and can be used to secure dentures.
The design of a dental implant is based on the design of a natural tooth, which has two main parts:
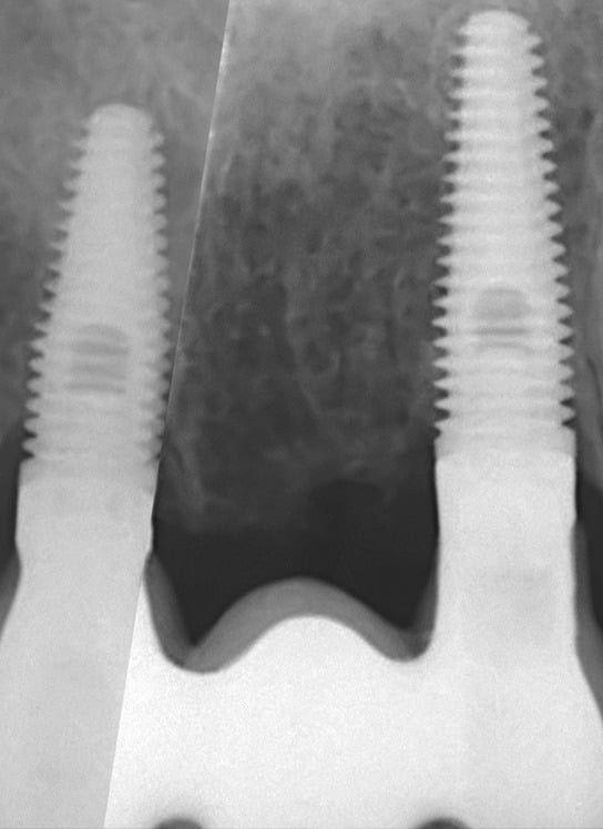
The fixture (titanium screw) replaces the function of a natural tooth root. Your jawbone attaches to the titanium threads of the fixture, providing a completely stable foundation for the new crown – a process known as osseo-integration. It usually takes twelve weeks for the bone to securely bond to the entire fixture surface.
The implant crown is supported by the implant fixture. It is carefully crafted to look and feel like a healthy, natural tooth.















A dental implant is simply a metal screw that is placed into the jawbone. It acts as an anchor for a false tooth or a set of false teeth. It functions very much like the root and crown of your natural teeth.
Your natural teeth are stable biting and chewing surfaces because your jawbone supports them. This is also true of dental implants. Successful dental implants become firmly embedded in the jaw through osseointegration, a natural process where the bone grows onto the implant surface.
This provides the same stability as natural teeth, making it possible for your replacement teeth to look, feel and function like natural teeth.
Dental implants have a number of advantages over more conventional methods of replacing missing teeth. An implant-supported crown is very similar to your natural tooth because it is fixed permanently, and does not need your other teeth or soft tissues for support.
Dental implants preserve the bone of the jaw that would normally have resorbed after tooth extraction. Implants can’t get decayed, so no more fillings.
Our dental implant provider is Southern Implants, a pioneer in this field, contributing extensively to the enhancement of implant devices. Southern Implants is focused on the top-end specialist sector of the implant market.
The success rate in our practice for the past twelve years has been 95+% for all implants placed.
Although it is impossible to give an absolute guarantee, our aim is that your implants should last you the rest of your lifetime. With the proper home care and professional maintenance, there is every reason to believe that they will.
Nutrition, oral hygiene, genetics, diseases (such as diabetes), and smoking have an effect on the long-term survival of dental implants. Implant success also depends very much on where the implants are placed (bone quality and quantity) and what they will be called upon to do.
The best-case scenario is the placement of implants in the front portion of the lower jaw. Here success can be as high as 98-100%. In other areas of the mouth, success rates can be slightly lower, but these are improving with new materials and techniques.
In the past, we had to wait three months in the lower jaw and six months in the upper jaw before placing any load on implants. In recent years, however, there has been a movement within the profession to speed up this process. Today, with better techniques and implant surfaces, it is possible to shorten the healing time. In many cases we can even load implants right away!
Nevertheless, one thing to keep in mind with implant therapy is to "respect nature". It is important that neither the patient nor the implant provider attempt to rush the treatment or try to advance the various stages faster than the time required for complete healing and maturation of bone and soft-tissues.
Treatment duration also depends on the complexity of the treatment. Initially there is a treatment planning stage. Then there may be some time spent on preparatory procedures as improving gum health, removing any hopeless teeth and growing bone.
This may take anything from a few weeks to many months. After the implants are placed they are left to settle in place from six weeks to six months. The final fitting of crowns or bridges or the attaching of dentures to the implants takes a month or two. The time depends on your individual situation.
Anyone who is in reasonable health and wants missing teeth replaced. Some people are missing all their teeth and most of those are excellent candidates for dental implants.
Today we use implants to replace small bridges, removable partial dentures and missing single teeth.
General requirements to enable successful placement and long-term survival of dental implants are:
Even if you do not meet these requirements right away we can treat oral disease, replace lost bone/gum and create space which will enable you to have dental implants.
We will evaluate your suitability for dental implant treatment.
The actual procedure to surgically place a dental implant is done under local anaesthesia and is generally not at all painful. Most of our patients report that the implant placement was less traumatic than having a tooth extracted.
When the anaesthesia wears off about three or four hours later, you might expect some discomfort. The level of discomfort is quite different from patient to patient, but most patients do not have significant problems.
Pain medication is prescribed which usually alleviates this discomfort. Most of our patients report that they only took painkillers for 1-2 days after the procedure.
Patients generally prefer a soft diet for the healing period following surgery.
Swelling and bruising may develop, depending on the amount and positions of the implants placed.
For more complex treatments or if you are very anxious, we offer intravenous conscious sedation. A qualified anaesthetist will administer a mild sedative, which will keep you calm and relaxed for the duration of the procedure.
Conscious sedation is very safe (much safer that general anaesthesia) and does not leave you feeling awful for days after the procedure!
The real issues here are appropriate training and experience.
Unfortunately, there are dentists who, after only a week or two of training, call themselves "Implantologists" or say that they are specialists in Implantology or "Board Certified" in Implantology.
While there are people and organisations that would like the general public to believe that there is such a thing as a dental specialty of Implant Dentistry, there is no such thing!
Some commercial companies and other organizations give credentials and awards to dentists that make it look like these dentists are highly trained dental implant specialists, but these credentials are not recognised by the General Dental Council.
The specialty areas of dentistry that are most aligned with dental implants are Periodontics, Prosthodontics and Oral and Maxillo-Facial Surgery.
Experience comes with time. Generally the more implants you have placed, the more experience you have.
Our suggestion is to check with the General Dental Council (external website) on the qualifications of a dentist before allowing him or her to treat you.
We recommend that you ask a potential service provider what training they received and what experience they have in providing dental implants!
Professionals practising implant dentistry should also be active members of organisations involved in continuous training and professional development, such as the Association of Dental Implantology the American Academy of Osseointegration and the American Academy of Periodontology.
Occasionally dental implants fail or, as some people say, they are rejected. In many instances, they can be replaced with another implant. Failure rates should be about 1-2%. Each year we place and restore approximately 200 implants and each year 1 or 2 of them fail. Failures are considered no more than a temporary setback that can lengthen the total treatment time.
In the past, patients had to go without wearing their dentures for at least two weeks after implant placement. Over the years this has been modified considerably and in most situations our patients will never be without “teeth”.
In more and more cases we are able to provide temporary crowns, bridges or dentures on the implants immediately after placement, with excellent success rates! Only in very rare cases may it be recommended that a patient go without his or her denture for a short period of time.
Every patient and procedure is evaluated separately and you will be informed of the type of temporary prosthesis that will be used in your case.
Sometimes it is necessary to build up the jawbone before, or at the same time as implant placement. The procedure of replacing missing bone is known as Bone Grafting or Bone Augmentation.
Bone grafting is a very common procedure in dentistry and it is often used for dental implants and in periodontal procedures around natural teeth.
To do bone grafting, we need a source of bone. The bone that we use can be one of three types:
The best bone is your own bone. This bone can be taken from other areas of the mouth or collected as we prepare the sites for dental implants. Occasionally this bone is taken from areas outside the mouth, such as the hip. When bone is taken from the hip, it is usually done in the hospital by an orthopaedic surgeon and transferred to the dentist doing the implant procedure in the operating theatre.